

二维码超时,点击刷新
微信扫码登录
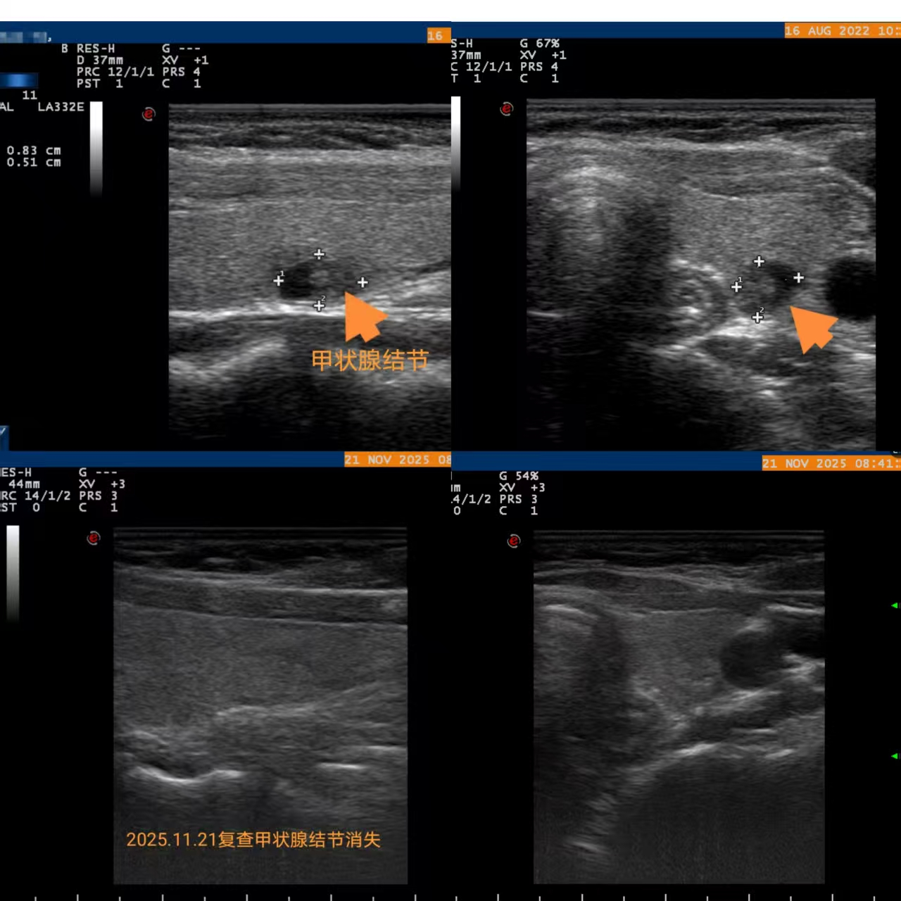
袁女士在五年前体检中发现甲状腺结节,后续复查中结节大小与形态均保持稳定,因而一直采取随访观察。2022年7月,她再次进行体检时,报告显示左叶结节被评定为4a类。尽管当时仍处于可观察范围,但随着时间推移,结节存在一定的病变风险。为从根本上杜绝隐患,袁女士决定积极寻求治疗。
2022年8月,她专程来到成都聚焦超声医院,接受了“海扶刀”进行聚焦超声消融治疗。该治疗方案无需开刀、不穿刺、不损伤皮肤,从体外即可精准消融结节,尤其重要的是能够完整保留甲状腺的正常结构与功能。
术前检查提示,袁女士的甲状腺结节位于左叶中部,大小约8.3×6.2×5.5mm。治疗过程顺利,术后半年,她在当地医院复查时发现结节已完全吸收消失。
2025年11月21日,袁女士因子宫肌瘤再次来院治疗时,同期复查甲状腺超声,显示双侧甲状腺未见异常,恢复良好。(如下图)

(成都聚焦超声医院罗艳医生)